札幌 豊平区月寒にある「犬の床屋さん ちゃいるどっく」のブログです。
気になるもの・・日々のこと・・お店の情報・・
のほほ~んとお送りします
昨年2月から始めたお嬢の歯の矯正。
うちの子の場合、乳歯の時点で隙間がほぼなく
歯医者さん行くたびに、これは大変かも…と言われてきました。
けれど、何十万もかけてする歯列矯正には踏み切れず…
行き着いたのが「床矯正」という方法。
この方法は取り外し可能な器具を1日14時間付けておくもので
食事時や、歯磨き、運動するときなどは外してOK。
歯列矯正でよく言われる、永久歯の抜歯もないので
当人の負担もかなり減る上に、費用もかなーり押さえれます。
ただ、きっちり並ぶかと言われれば、そこまでビシッと
ならないという意見もあり…。
まぁ、判断難しいですが、芸能人になるわけでもないし
それなりに揃ってくれればいいや。と始めたのです。
これが、その矯正具。

2014年2月
前歯2本も斜めに生えてる上に前歯の横の乳歯もギリギリ。

2014年8月
前歯は少しずつ矯正されてきましたが、横のが完全に後ろ…。


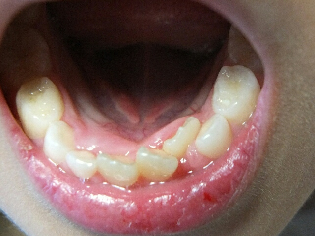
そして、2015年3月。
ずいぶんと4本が並んできた様子。


こうして見ると、いい調子で矯正されてきてます。
これから上の歯も始まるので、大変になるけど
がんばれ!!お嬢っ!!結果はでてきてるぞっ!!
うちの子の場合、乳歯の時点で隙間がほぼなく
歯医者さん行くたびに、これは大変かも…と言われてきました。
けれど、何十万もかけてする歯列矯正には踏み切れず…
行き着いたのが「床矯正」という方法。
この方法は取り外し可能な器具を1日14時間付けておくもので
食事時や、歯磨き、運動するときなどは外してOK。
歯列矯正でよく言われる、永久歯の抜歯もないので
当人の負担もかなり減る上に、費用もかなーり押さえれます。
ただ、きっちり並ぶかと言われれば、そこまでビシッと
ならないという意見もあり…。
まぁ、判断難しいですが、芸能人になるわけでもないし
それなりに揃ってくれればいいや。と始めたのです。
これが、その矯正具。
2014年2月
前歯2本も斜めに生えてる上に前歯の横の乳歯もギリギリ。
2014年8月
前歯は少しずつ矯正されてきましたが、横のが完全に後ろ…。
そして、2015年3月。
ずいぶんと4本が並んできた様子。
こうして見ると、いい調子で矯正されてきてます。
これから上の歯も始まるので、大変になるけど
がんばれ!!お嬢っ!!結果はでてきてるぞっ!!
どうも。三寒四温な3月を迎え、雪解けまであと少し…
と思ったら、どえらい天気でしたね…。どうも、ひげです。
さてさて、今日はシュナウザーのお顔カットのお話です。
シュナウザーのカットと言えば、おひげとまゆ毛を残した
村山総理(なつかしいな…)みたいな、おじぃちゃんカットですが
ここ最近の流行りは、ちょっと丸めにカットするスタイル。

おひげ短めなので、ご飯やお水で汚れにくいのでお手入れ楽です。
横からはこんな感じです。

そして、ちょっと変則的なこんなスタイルも。

頭はシュナウザーっぽく短くして、横はふんわり長めです。
なんとなくやわらかい印象になったかと思います。
横からの輪郭も耳の付け根辺りから取ってます。

あー。今日はとってもトリマーっぽいブログやないかいっ!!
と思ったら、どえらい天気でしたね…。どうも、ひげです。
さてさて、今日はシュナウザーのお顔カットのお話です。
シュナウザーのカットと言えば、おひげとまゆ毛を残した
村山総理(なつかしいな…)みたいな、おじぃちゃんカットですが
ここ最近の流行りは、ちょっと丸めにカットするスタイル。
おひげ短めなので、ご飯やお水で汚れにくいのでお手入れ楽です。
横からはこんな感じです。
そして、ちょっと変則的なこんなスタイルも。
頭はシュナウザーっぽく短くして、横はふんわり長めです。
なんとなくやわらかい印象になったかと思います。
横からの輪郭も耳の付け根辺りから取ってます。
あー。今日はとってもトリマーっぽいブログやないかいっ!!
